[vc_row][vc_column][vc_column_text]Constantemente me encuentro con veterinarios que tienen esta duda: tienen un perro con posible linfoma y no saben qué prueba realizar de las muchas que nos ofrecen los laboratorios.
Muchos se dicen que antes hacíamos una citología o una biopsia, con eso diagnosticábamos linfoma y podíamos ponernos manos a la obra con el tratamiento, pero ahora, tenemos a nuestra disposición un montón de pruebas: PARR, citometría de flujo, inmunocitoquímica, inmunohistoquímica,… oímos hablar de marcadores celulares… Ya no nos atrevemos a proponer tratamientos directamente como antes ¿Es necesario hacer todo esto? Pues la respuesta es si y no a la vez.
Como sabéis, en nuestro día a día de la clínica estamos condicionados por el presupuesto del que dispone el propietario, por lo que hay que buscar un equilibrio entre hacer una medicina de la mayor calidad posible y un gasto equilibrado que no nos haga usar todo el presupuesto en el diagnóstico y luego no poder realizar el tratamiento más adecuado porque se han quedado sin dinero.
Es por ello que es importante saber para qué sirve cada prueba, que nos puede aportar y cómo se debe realizar, para poder elegir la que mejor nos convenga en cada caso y así obtener información que nos resulte útil y gestionar adecuadamente el presupuesto.
Lo primero que necesitamos saber es si nos encontramos ante un linfoma o no (Si lo necesitas, puedes usar nuestro servicio de citología )
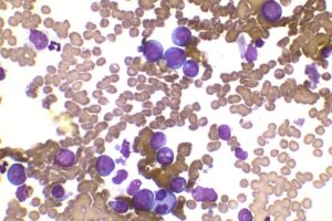
Alrededor de un 70% de los linfomas diagnosticados son linfomas de células grandes (linfoblastos). Esto que quiere decir que podemos diagnosticarlos con una citología si en ella más del 50% de la población celular corresponde a linfoblastos. El problema que tiene la citología es en aquellos linfomas que se generan a partir de la proliferación neoplásica de linfocitos de tamaño pequeño o intermedio, ya que no nos permite diferenciar si estos linfocitos que vemos son población normal o neoplásica y ahí necesitaremos pruebas complementarias como PARR, citometría de flujo, inmunohistoquímica o inmunocitoquímica.

Pues si hemos realizado una citología y tenemos la suerte de que sea diagnóstica,ya sabemos que tenemos un linfoma de células grabndes ¿Necesitamos saber más? Hasta hace unos años nos quedábamos ahí, tratábamos a todos los animales con un protocolo CHOP o COP y observábamos que unos iban genial y otros evolucionaban muy negativamente. Hoy en día tenemos herramientas para afinar el diagnóstico y con esto obtener dos beneficios: el primero, darle un pronóstico al propietario (en general los linfomas de tipo T tienen peor pronóstico que los de tipo B aunque con matices en función de su localización) y darle la máxima información posible; el segundo, nos ayudará a elegir tratamientos ya que se ha observado que los linfomas de tipo T pueden beneficiarse del uso de terapias con lomustina.
Es por eso que actualmente la clasificación de los linfomas más comunes en perros se realiza en función de los marcadores fenotípicos que presentan estos linfocitos en su superficie siendo los siguientes los más comunes:
Linfoma difuso de células grandes tipo B, linfoma marginal, Linfoma folicular, linfoma mantle-cell, linfoma periférico de células T, Linfoma de células T pequeñas, linfoma cutáneo epiteliotropo y linfoma hepatoesplénico .
Cada uno de ellos tiene unos marcadores concretos, los llamados CD (cluster de diferenciación, un tipo de antígeno presente en las células del sistema inmune de los mamíferos). En cualquier artículo o libro especializado podéis encontrar toda la lista de marcadores para cada uno de ellos, aquí no me extiendo porque no es el objeto de este post.
Estos marcadores sólo se pueden determinar con técnicas avanzadas que veremos a continuación. Y ¿Para qué sirven? Pues cada uno de estos linfomas tiene un pronóstico y evolución determinados, así como una respuesta específica a determinados tratamientos que siempre es interesante conocer de antemano.

¿Cómo determinaremos estos fenotipos? Pues haciendo una de las siguientes pruebas que elegiremos en función del caso clínico y de su disponibilidad en los laboratorios:
PCR del reordenamiento del receptor de antígeno, PARR : Es una técnica PCR que nos permite identificar si la población de linfocitos ante la que nos encontramos es monoclonal, o sea neoplásica (aunque algunas proliferaciones por infección de Ehrlichia sp pueden ser monoclonales) o policlonal, o sea, reactiva. En caso de ser monoclonal nos puede indicar si se trata de linfocitos tipo B o T. Esta prueba nos puede ayudar a confirmar un diagnóstico de linfoma cuando tengamos dudas y también decirnos si se trata de un linfoma de tipo B o T. Se puede realizar en citologías previamente teñidas, aunque lo ideal es que reservéis alguna sin teñir para esta prueba en caso necesario.
Su principal inconveniente es que los resultados tardan unas dos semanas, el precio es alto pero llegados a este punto, todas lo tienen.
Citometría de flujo: Esta prueba nos fenotipa completamente nuestros linfocitos con todos sus marcadores (los CD y CMH) y los resultados se dan en 48 horas. Es fundamental para tipificar leucemias, por ejemplo. Su principal inconveniente es que se realiza en células vivas, por lo que requiere un envío especial y sólo se procesan de martes a jueves (no pueden pasar varios días desde la toma de muestra hasta su procesamiento). Sólo unos pocos laboratorios en España lo hacen, os recomiendo contactar antes con ellos para que os digan exactamente cómo hay que enviarlas y hacerlo correctamente.
Inmunohistoquímica/inmunocitoquímica: Con tinciones especiales se tipifican los linfocitos bien en una muestra de tejido o en una citología. Si hemos mandado previamente una biopsia esta es una buena opción, ya que no necesitaremos enviar más muestras al laboratorio y por lo tanto no necesitamos realizar más pruebas al paciente.
Su principal inconveniente, como la PARR, es que los resultados tardan varias semanas.
Este tema da para 5 post en el blog, ya que de cada apartado se puede uno extender muchísimo, pero el objetivo de esta publicación es simplemente hacer una aclaración fácil y rápida de las pruebas que tenemos disponibles para el diagnóstico del linfoma canino y de cómo y cuándo usarlas, ya que observo que a veces este tema genera mucha confusión. En mi opinión personal lo ideal es siempre que intentéis tipificar un linfoma, ya que nos aporta información para explicarle al dueño cuál es la evolución más probable, así como nos ayuda a decidir tratamientos en algunos casos.
Pero no es imprescindible totalmente para iniciar el tratamiento. Si el dueño rechaza hacer más pruebas pero está dispuesto a intentar un tratamiento, se puede decidir uno en función de los datos que dispongamos del animal y darle una oportunidad a ese paciente.
Espero que os haya sido de ayuda y que a partir de ahora tengáis aunque sólo sea un poquito más claro por qué prueba decantaros ante un caso de posible linfoma. Si necesitáis ayuda con cualquier caso, podéis consultar nuestros servicios de oncología presencial, online o por videoconferencia
[/vc_column_text][/vc_column][/vc_row]
